Springer-Verlag
A B C D E F G H I J K L M N O P Q R S T U V W X Y Z 0-9

Morbus Freiberg-Köhler

Synonyme

Osteonekrose des Mittefußkopfs; Morbus Freiberg

Englischer Begriff

Freiberg’s infraction

Definition

Osteonekrose der lateralen Mittelfußköpfe (II > III > IV) mit morphologischer Strukturstörung des Mittelfußkopfs und Ausbildung einer sekundären Arthrose des Kleinzehengrundgelenks.

Pathogenese

Als ursächlich wird eine ischämische Nekrose der Mittelfußkopfepiphyse diskutiert.

Symptome

Belastungsabhängige Beschwerden und eine Bewegungseinschränkung im Kleinzehengrundgelenk, vor allem für die Dorsalextension, sind typische Symptome. Im Spätstadium können die dorsalen Osteophyten am Mittelfußkopf zu einer tast- und sichtbaren knöchernen Auftreibung führen, die Beschwerden in geschlossenem Schuhwerk verursacht.

Diagnostik

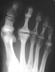
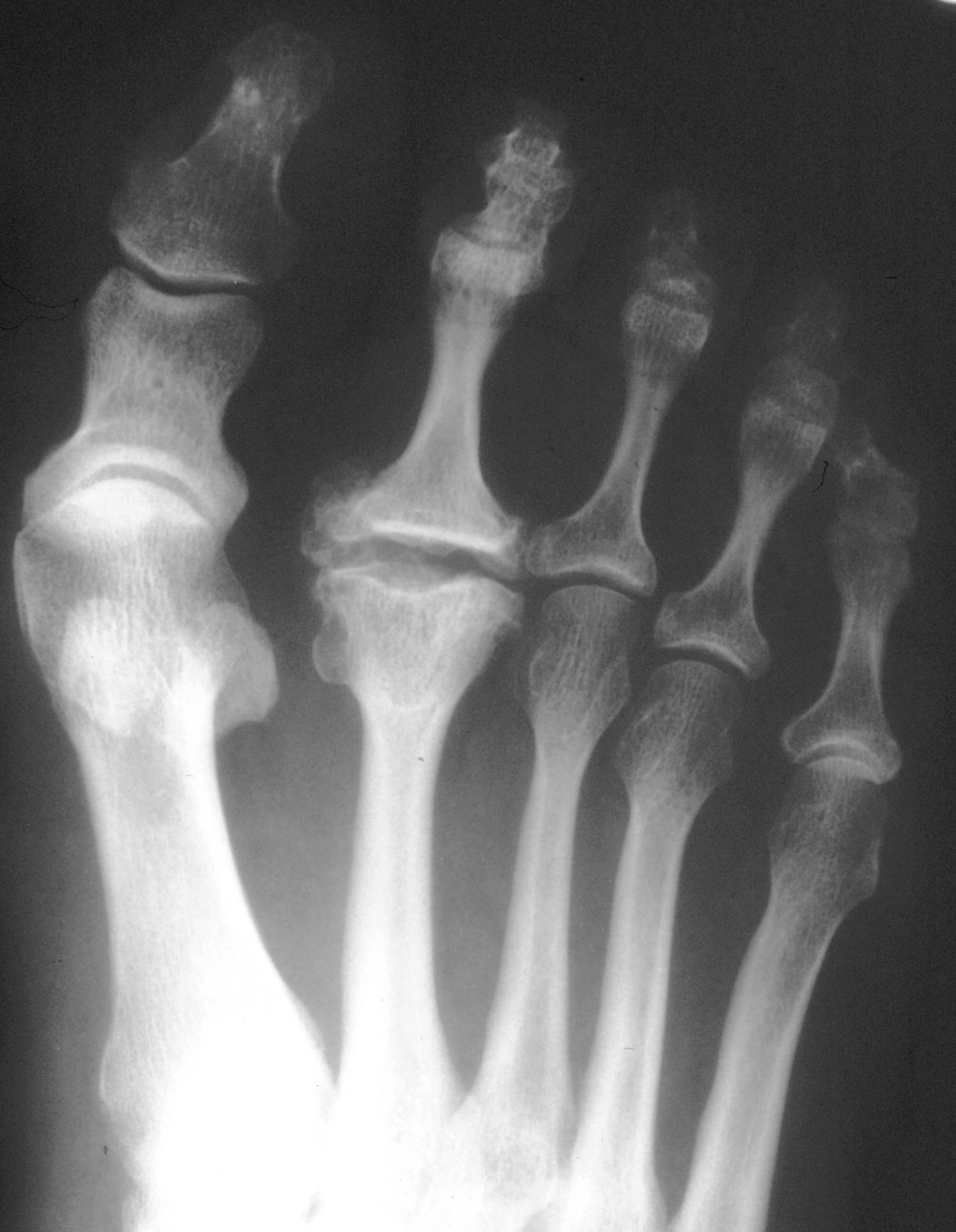
Im Frühstadium liegt oft eine schmerzhaft eingeschränkte Beweglichkeit, vor allem für die Dorsalextension, vor. Ein axialer Stauchungsschmerz deutet auf ein intraartikuläres Geschehen möglicherweise in Kombination mit einer Synovitis hin. Die Umgebung des Gelenks kann etwas überwärmt sein. Im Spätstadium kann der dorsale Mittelfußkopf aufgetrieben sein, so dass eine knöcherne Auftreibung imponiert (Abb. 1). Korrespondierend kann sich eine Metatarsalgie entwickeln. Röntgenologisch imponiert eine dorsal betonte Destruktion des Mittelfußkopfs, die von ausladenden Osteophyten und einer erheblichen morphologischen Formstörung des Mittelfußkopfs begleitet sein kann.


Abb. 1.
Ausladende Osteophyten mit Formstörung des Mittelfußkopfs als radiologisches Zeichen des Morbus Freiberg-Köhler.

Differenzialdiagnose

Synovitis, synoviale Tumoren, Gicht, Arthrose des Kleinzehengrundgelenks, Fraktur des Mittelfußknochens (Marschfraktur), Kleinzehendeformität (z. B. Klauenzehe), Morton-Interdigitalneuralgie, Bursitis, Knochentumore.

Therapie

Im selten diagnostizierten Frühstadium ist eine konservative Therapie indiziert. Denkbar sind in diesem Stadium jedoch auch eine Synovektomie und ein retrogrades Anbohren des osteochondralen Herds. Im Spätstadium kann durch eine operative Therapie eine deutliche Befundbesserung erzielt werden.

Akuttherapie

Reduktion der Belastung, Immobilisation, Verzicht auf sportliche Aktivität, aktive Bewegungsübungen, Schmerztherapie.

Konservative/symptomatische Therapie

Der betreffende Vorfuß sollte im Frühstadium über vier bis sechs Wochen entlastet werden. Das Schuhwerk sollte anschließend flache Absätze und eine relativ steife Sohle haben, um die Dorsalextension im Kleinzehengrundgelenk zu reduzieren. Gelenkinjektionen mit einem Kortikoid sind bei begleitender Synovitis sinnvoll.

Im Spätstadium beschränkt sich die konservative Therapie auf eine Druckentlastung des dorsalen Mittelfußkopfs und eine Weichbettung der plantaren Mittelfußkopfregion.

Medikamentöse Therapie

Die systemische Gabe von nicht-steroidalen Antiphlogistika kann im Frühstadium sowie bei Ausbildung einer begleitenden Synovitis indiziert sein.

Operative Therapie

Im Frühstadium kann selten eine Synovektomie sowie eine Herdanfrischung (Mikrofrakturierung) oder eine retrograde Anbohrung des osteochondralen Herds indiziert sein. Im Spätstadium oder bei Demarkation des Fragments ist ein Gelenkdébridement mit Glättung und Remodellierung der dorsalen Mittelfußkopfregion angezeigt. Der plantar meist intakte Knorpel kann durch eine dorsal schließende retrokapitale Osteotomie in die Belastungszone geschwenkt werden. Durch eine Verkürzung des Mittelfußstrahls lässt sich eine Druckentlastung im degenerativ veränderten Gelenk erreichen. Eine endoprothetische Versorgung oder Arthrodese des Kleinzehengrundgelenks ist Ausnahmeindikationen vorbehalten. Über Knorpel-Knochen-Transplantationen liegen derzeit noch keine ausreichenden klinischen Erfahrungen vor.

Dauertherapie

Trotz der oben genannten gelenkerhaltenden Maßnahmen können die sekundären degenerativen Gelenkveränderungen in unterschiedlichem Ausmaß symptomatisch bleiben. In diesen Fällen kann eine Sohlenversteifung in Kombination mit einer Mittelfußrolle den schmerzhaften Abrollvorgang erleichtern.

Bewertung

Da die aseptische Knochennekrose eines Mittelfußkopfs häufig unerkannt verläuft, ist davon auszugehen, dass nur ein geringer Anteil der betroffenen Patienten im Erwachsenenalter durch die sekundär degenerativen Veränderungen beeinträchtigt wird. Die operativen Behandlungsmaßnahmen zielen auf eine Wiederherstellung der physiologischen Gelenkkonfiguration ab, wobei die Arthrose im Zehengrundgelenk trotz retrokapitaler Umstellungsosteotomie oder metatarsaler Verkürzungsosteotomie in unterschiedlichem Ausmaß beschwerdeführend bleiben kann. Auch die Dorsalextension bleibt meist eingeschränkt, so dass die Absatzhöhe langfristig reduziert werden muss.

Nachsorge

Abgesehen von postoperativen Kontrollen sind keine regelmäßigen klinischen oder röntgenologischen Untersuchungen erforderlich.

Autor

Renée Fuhrmann

Anzeige

© Springer 2017
Powered by kb-soft